Esame Citologico Urinario Biomedical Analisi Cliniche

Esame Citologico Urinario Biomedical Analisi Cliniche

Esame Citologico Nasale Normale Sono Presenti Alcune Cellule Ciliate E Download Scientific Diagram

Esame Citologico Nasale Normale Sono Presenti Alcune Cellule Ciliate E Download Scientific Diagram

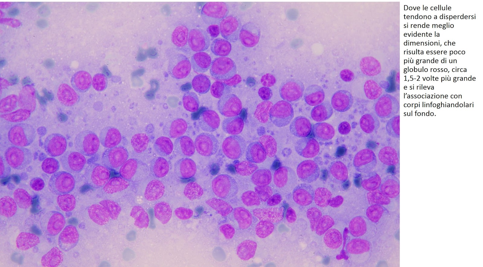
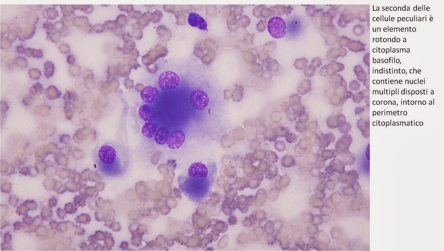
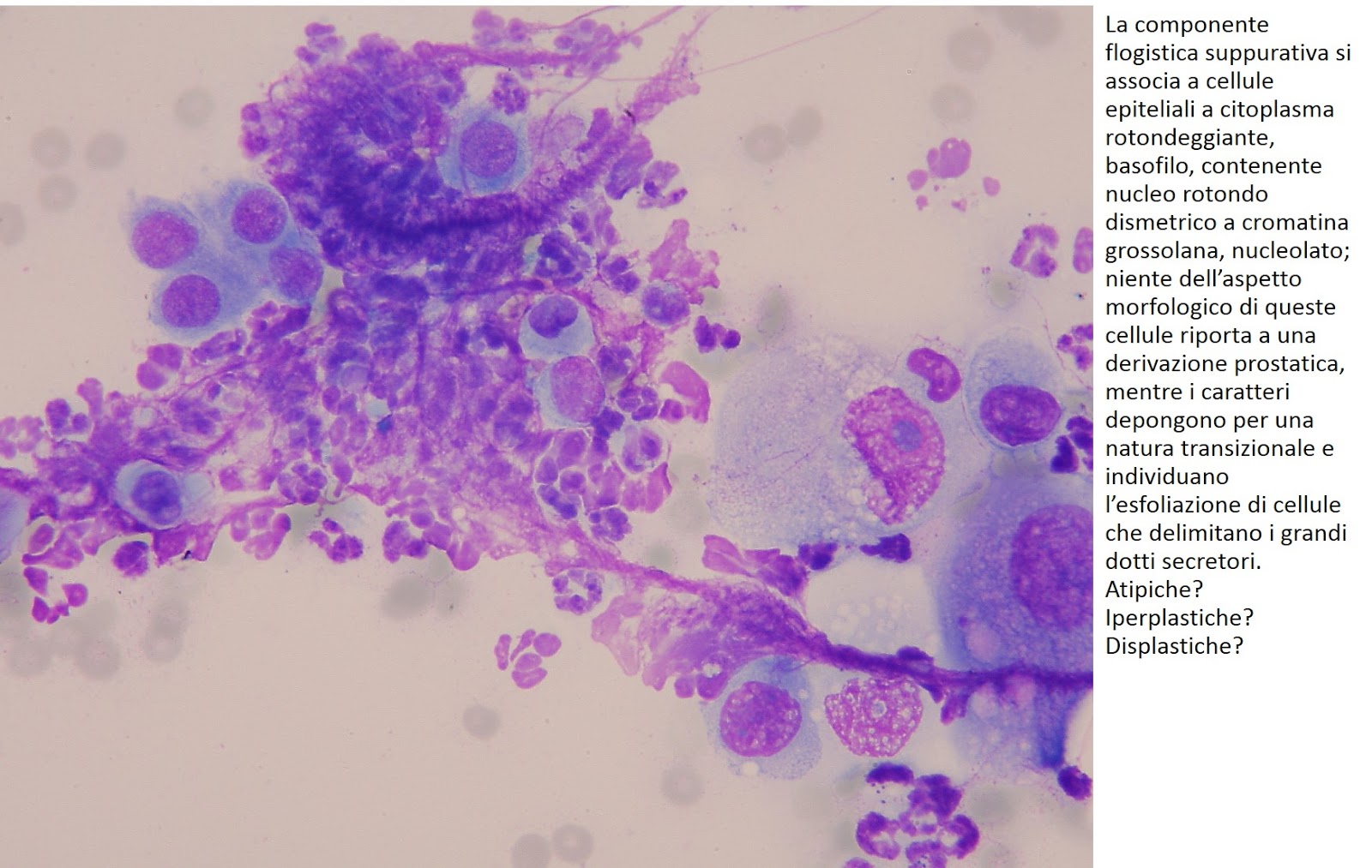
C R A M P O Casi Citologici Giorno 16 Settembre 2015

C R A M P O Casi Citologici Giorno 16 Settembre 2015

Tips Cheap N 26 2017 Cito Istoquiz N 151 Biessea

Tips Cheap N 26 2017 Cito Istoquiz N 151 Biessea

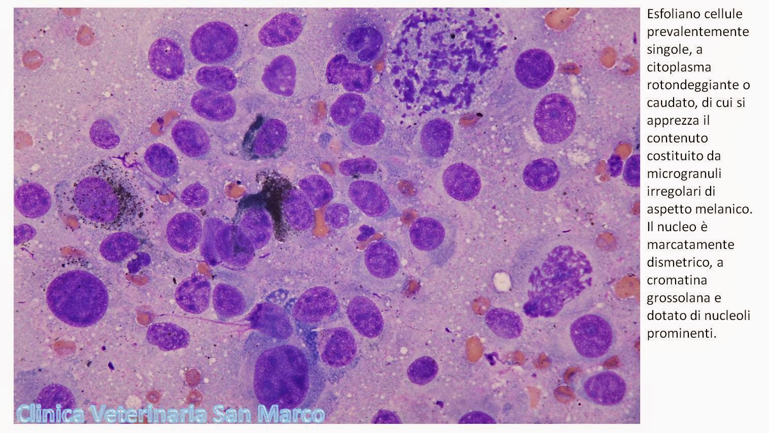
Quadro Citologico Di Flogosi Cronica A Ambulatorio Veterinario Dott Ssa Antonia Gamuzza Facebook

Quadro Citologico Di Flogosi Cronica A Ambulatorio Veterinario Dott Ssa Antonia Gamuzza Facebook

Tips Cheap N 39 2016 Cito Istoquiz N 133 Biessea

Tips Cheap N 39 2016 Cito Istoquiz N 133 Biessea

Tips Cheap N 39 2016 Cito Istoquiz N 133 Biessea

Cose La Bactobilia In Citologia

Cose La Bactobilia In Citologia

Tips Cheap N 26 2017 Cito Istoquiz N 151 Biessea

Tips Cheap N 26 2017 Cito Istoquiz N 151 Biessea

C R A M P O Casi Citologici Giorno 8 Gennaio 5 Marzo 2014

C R A M P O Casi Citologici Giorno 8 Gennaio 5 Marzo 2014

Batteri

Batteri

Esame Citologico Di Agoaspirato Ecoguidato Di Nodulo Tiroideo Meridia Roma

Esame Citologico Di Agoaspirato Ecoguidato Di Nodulo Tiroideo Meridia Roma

C R A M P O 2019

C R A M P O 2019

Tips Cheap N 39 2016 Cito Istoquiz N 133 Biessea

Tips Cheap N 39 2016 Cito Istoquiz N 133 Biessea

2

2

C R A M P O Casi Citologici Giorno 8 Gennaio 5 Marzo 2014

C R A M P O Casi Citologici Giorno 8 Gennaio 5 Marzo 2014

Il Citoincluso Da Microcapillare Un Ausilio Diagnostico

Il Citoincluso Da Microcapillare Un Ausilio Diagnostico

Https Veterinaria Scivac Org 2018 Year 32 N 2 April 2018 Download 942 Af0f4dfd0f25dda2721cb38b8b42d563 Html

Https Veterinaria Scivac Org 2018 Year 32 N 2 April 2018 Download 942 Af0f4dfd0f25dda2721cb38b8b42d563 Html

C R A M P O 2018

C R A M P O 2018

Tips Cheap N 26 2017 Cito Istoquiz N 151 Biessea

Tips Cheap N 26 2017 Cito Istoquiz N 151 Biessea

Ciclo Estrale Della Cagna Ambulatorio Veterinario Gabbro

Ciclo Estrale Della Cagna Ambulatorio Veterinario Gabbro

Esame Citologico Nasale Normale Sono Presenti Alcune Cellule Ciliate E Download Scientific Diagram

Esame Citologico Nasale Normale Sono Presenti Alcune Cellule Ciliate E Download Scientific Diagram

Tips Cheap N 26 2017 Cito Istoquiz N 151 Biessea

Tips Cheap N 26 2017 Cito Istoquiz N 151 Biessea

Nuovo

Nuovo

C R A M P O 2019

C R A M P O 2019

Tips Cheap N 33 2017 Cito Istoquiz N 153 Biessea

Tips Cheap N 33 2017 Cito Istoquiz N 153 Biessea

Esame Citologico Urinario Su 3 Campioni Montallegro

Esame Citologico Urinario Su 3 Campioni Montallegro

Citologia Nasale Dott Giuseppe Lombardo Specialista In Otorinolaringoiatria

Citologia Nasale Dott Giuseppe Lombardo Specialista In Otorinolaringoiatria

C R A M P O 2019

C R A M P O 2019

Quadro Citologico Di Flogosi Cronica A Ambulatorio Veterinario Dott Ssa Antonia Gamuzza Facebook

Quadro Citologico Di Flogosi Cronica A Ambulatorio Veterinario Dott Ssa Antonia Gamuzza Facebook

Urine Esame Citologico Infermiere Sergio Portella

Urine Esame Citologico Infermiere Sergio Portella

Https Www Sierr It Images Percorsocoppia Foresta 7 Pdf

Https Www Sierr It Images Percorsocoppia Foresta 7 Pdf

Batteri Pdf Document

Batteri Pdf Document

Citologia Cervico Vaginale A7906 Studocu

Citologia Cervico Vaginale A7906 Studocu

L Agoaspirato Midollare Lettere Dalla Facoltalettere Dalla Facolta

L Agoaspirato Midollare Lettere Dalla Facoltalettere Dalla Facolta

Tips Cheap N 40 2017 Leishmania Caso Clinico Biessea

Tips Cheap N 40 2017 Leishmania Caso Clinico Biessea

Il Citoincluso Da Microcapillare Un Ausilio Diagnostico

Il Citoincluso Da Microcapillare Un Ausilio Diagnostico

Mastocitosi Viscerale Felina

Mastocitosi Viscerale Felina

2

2

C R A M P O 2019

C R A M P O 2019

Quadro Di Flogosi Neutrofilica E Possibile Evidenziare Al Centro Del Download Scientific Diagram

Quadro Di Flogosi Neutrofilica E Possibile Evidenziare Al Centro Del Download Scientific Diagram

Thinprep Il Pap Test Liquido Paginemediche

Thinprep Il Pap Test Liquido Paginemediche

Citoassistenza E Gestione Del Materiale Biologico On Site Pdf Download Gratuito

Citoassistenza E Gestione Del Materiale Biologico On Site Pdf Download Gratuito

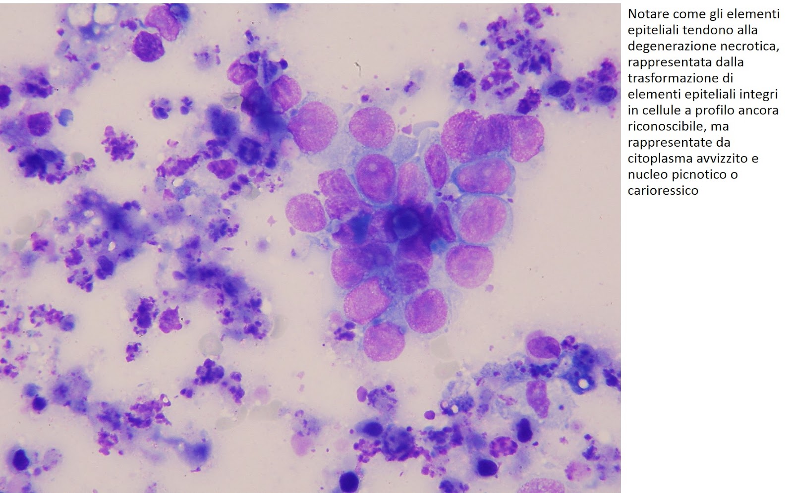
Quadro Citologico Di Flogosi Cronica A Ambulatorio Veterinario Dott Ssa Antonia Gamuzza Facebook

Quadro Citologico Di Flogosi Cronica A Ambulatorio Veterinario Dott Ssa Antonia Gamuzza Facebook

Citopatologia Apparato Respiratorio Studocu

Citopatologia Apparato Respiratorio Studocu

La Professione Veterinaria 16 2013 By E V Soc Cons A R L Issuu

La Professione Veterinaria 16 2013 By E V Soc Cons A R L Issuu

Referto Citologico Cosa Significa C1 C2 C3 C4 C5

Referto Citologico Cosa Significa C1 C2 C3 C4 C5

Prof Costanzo Moretti Sp

Prof Costanzo Moretti Sp

Https Www Aitic It Wp Content Uploads 2019 09 Citol Urinaria Pdf

Https Www Aitic It Wp Content Uploads 2019 09 Citol Urinaria Pdf

O Diagnostico Citologico De Celulas Escamosas Atipicas Uma Avaliacao Critica Das Recomendacoes Diagnosticas

O Diagnostico Citologico De Celulas Escamosas Atipicas Uma Avaliacao Critica Das Recomendacoes Diagnosticas

Rquivos Internacionais De Otorrinolaringologia

Rquivos Internacionais De Otorrinolaringologia

Urine Esame Citologico Infermiere Sergio Portella

Urine Esame Citologico Infermiere Sergio Portella

C R A M P O 2018

C R A M P O 2018

Marani Francesca Il Nodulo Sospetto Asmad 2011

Marani Francesca Il Nodulo Sospetto Asmad 2011

Https Www Vetjournal It Images Archive Pdf Riviste 3868 Pdf

Https Www Vetjournal It Images Archive Pdf Riviste 3868 Pdf

Tips Cheap N 33 2017 Cito Istoquiz N 153 Biessea

Tips Cheap N 33 2017 Cito Istoquiz N 153 Biessea

Guendalina Casi Clinici Omeopatia Possibile

Guendalina Casi Clinici Omeopatia Possibile

Citologia Ambulatorio Veterinario Il Prato

Citologia Ambulatorio Veterinario Il Prato

09 Siapec

09 Siapec

Citologia Urinaria Su Tre Prelievi Spiega Esami

Citologia Urinaria Su Tre Prelievi Spiega Esami

Seno Com Centro Oncologico Modenese Cancro Del Dipartimento Di Cure Primarie Distretti Di Modena E Castelfranco E Pdf Free Download

Seno Com Centro Oncologico Modenese Cancro Del Dipartimento Di Cure Primarie Distretti Di Modena E Castelfranco E Pdf Free Download

Analisi Cliniche Mater Dei

Analisi Cliniche Mater Dei

Http Www Endogynaeteam Com Wp Content Uploads 2011 06 Endometriosi Anat Pat Pdf

Http Www Endogynaeteam Com Wp Content Uploads 2011 06 Endometriosi Anat Pat Pdf

Dermatologyvenereology Instagram Posts Gramho Com

Dermatologyvenereology Instagram Posts Gramho Com

Mastocitosi Viscerale Felina

Mastocitosi Viscerale Felina

Facebook

Facebook

Guarino M Anselmi L Da Il Quadro Citologico Vaginale Nella Bambina Sottoposta A Somministrazione Di Griseofulvina 1970 Libreria Piani

Guarino M Anselmi L Da Il Quadro Citologico Vaginale Nella Bambina Sottoposta A Somministrazione Di Griseofulvina 1970 Libreria Piani

Https Ticino Labmed Ch Fileadmin Sezione Ticino Formazione Citologia 24 10 2017 Le Buone Pratiche Pdf

Https Ticino Labmed Ch Fileadmin Sezione Ticino Formazione Citologia 24 10 2017 Le Buone Pratiche Pdf

Fai La Tua Diagnosi Citologia Liquido Sinoviale In Un Cane

Fai La Tua Diagnosi Citologia Liquido Sinoviale In Un Cane

Qualcosa Di Piu Che Fare Pipi Nel Bicchierino Esame Citologico Delle Urine

Qualcosa Di Piu Che Fare Pipi Nel Bicchierino Esame Citologico Delle Urine

Https Www Gisci It Documenti Convegni Mantova2002 20021213 Prandi Mantova Pdf

Https Www Gisci It Documenti Convegni Mantova2002 20021213 Prandi Mantova Pdf

Le Displasie E Il Tbs

Le Displasie E Il Tbs

Http Www Endogynaeteam Com Wp Content Uploads 2011 06 Endometriosi Anat Pat Pdf

Http Www Endogynaeteam Com Wp Content Uploads 2011 06 Endometriosi Anat Pat Pdf

Guendalina Casi Clinici Omeopatia Possibile

Guendalina Casi Clinici Omeopatia Possibile

C R A M P O Casi Citologico Giorno 4 Febbraio 2014

C R A M P O Casi Citologico Giorno 4 Febbraio 2014

Tumore Della Vescica Urologia Grosseto

Tumore Della Vescica Urologia Grosseto

Syllabus A Cura Dei Componenti Del Gruppo Per Il Controllo Di Qualita In Citologia Cervico Vaginale Prevenzione Serena Di Torino Pdf Free Download

Syllabus A Cura Dei Componenti Del Gruppo Per Il Controllo Di Qualita In Citologia Cervico Vaginale Prevenzione Serena Di Torino Pdf Free Download

Esame Citologico E Istologico Qual E La Differenza Seno Clinic

Esame Citologico E Istologico Qual E La Differenza Seno Clinic

Tips Cheap N 40 2017 Leishmania Caso Clinico Biessea

Tips Cheap N 40 2017 Leishmania Caso Clinico Biessea

Lezione 28 Patologia Clinica Studocu

Lezione 28 Patologia Clinica Studocu

Desempenho Da Citologia Em Meio Liquido Na Identificacao De Agentes Microbiologicos Cervico Vaginais Revista Rbac

Desempenho Da Citologia Em Meio Liquido Na Identificacao De Agentes Microbiologicos Cervico Vaginais Revista Rbac

56a Edizione Scivac Rimini Parte1 By E V Soc Cons A R L Issuu

56a Edizione Scivac Rimini Parte1 By E V Soc Cons A R L Issuu

Https Www Gisci It Documenti Convegni Mantova2002 20021213 Prandi Mantova Pdf

Https Www Gisci It Documenti Convegni Mantova2002 20021213 Prandi Mantova Pdf

Carcinosi Peritoneale Wikipedia

Carcinosi Peritoneale Wikipedia

L Agoaspirato Midollare Lettere Dalla Facoltalettere Dalla Facolta

L Agoaspirato Midollare Lettere Dalla Facoltalettere Dalla Facolta

Tumore Al Seno C1 C2 C3 C4 C5 Cosa Significa Il Referto Medicina Online

Tumore Al Seno C1 C2 C3 C4 C5 Cosa Significa Il Referto Medicina Online

Https Elearning Unipd It Scuolaamv Mod Resource View Php Id 9801

Https Elearning Unipd It Scuolaamv Mod Resource View Php Id 9801

Https Www Aitic It Wp Content Uploads 2019 09 La Citologia Urinaria Dopo Il Sistema Di Parigi Pdf

Https Www Aitic It Wp Content Uploads 2019 09 La Citologia Urinaria Dopo Il Sistema Di Parigi Pdf

C R A M P O 2019

C R A M P O 2019

Cazul Nr 26 R Ilpatologo

Cazul Nr 26 R Ilpatologo

Il Citoincluso Da Microcapillare Un Ausilio Diagnostico

Il Citoincluso Da Microcapillare Un Ausilio Diagnostico

Https Www Cpo It Workspace Files Quadernocpo13 2007 4f0d9d0fed1c5 Pdf

Https Www Cpo It Workspace Files Quadernocpo13 2007 4f0d9d0fed1c5 Pdf

Http Www Ospedalerc It Files Old Due 20casi 20di 20meningite 20neoplastica 20diagnosticati 20mediante 20l E2 80 99ausilio 20dell E2 80 99esame 20citologico 20del 20liquor Pdf

Http Www Ospedalerc It Files Old Due 20casi 20di 20meningite 20neoplastica 20diagnosticati 20mediante 20l E2 80 99ausilio 20dell E2 80 99esame 20citologico 20del 20liquor Pdf

Facebook

Facebook

Pdf La Citologia Nasale Nella Diagnosi Delle Riniti Sovrapposte

Pdf La Citologia Nasale Nella Diagnosi Delle Riniti Sovrapposte

Tumori Testicolari Del Cane Diagnostica Citologica E Correlazioni Istopatologiche Pdf Free Download

Tumori Testicolari Del Cane Diagnostica Citologica E Correlazioni Istopatologiche Pdf Free Download

Https Www Docenti Unina It Webdocenti Be Allegati Materiale Didattico 174230

Https Www Docenti Unina It Webdocenti Be Allegati Materiale Didattico 174230

Esame Citologico

Esame Citologico

Https Www Sierr It Images Percorsocoppia Foresta 7 Pdf

Https Www Sierr It Images Percorsocoppia Foresta 7 Pdf

Https Ticino Labmed Ch Fileadmin Sezione Ticino Formazione Citologia 24 10 2017 Le Buone Pratiche Pdf

Https Ticino Labmed Ch Fileadmin Sezione Ticino Formazione Citologia 24 10 2017 Le Buone Pratiche Pdf

Source : pinterest.com